市中心医院成功完成一例罕见“镜面人”胆囊微创切除手术
发布时间: 2024-12-30
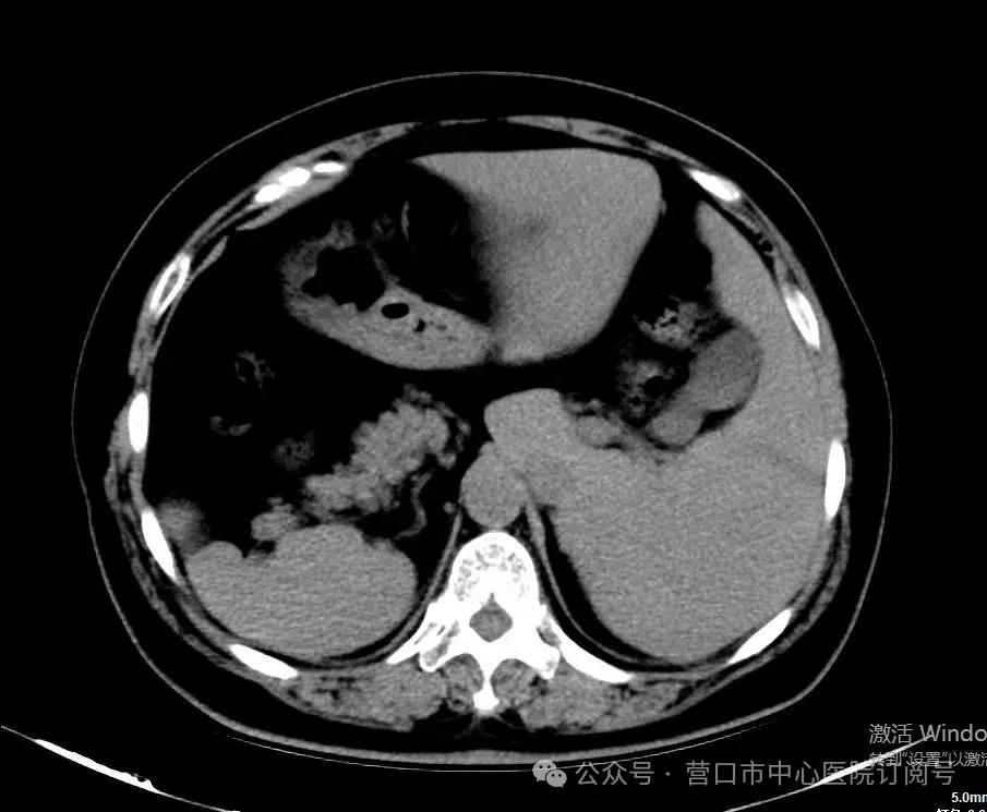
近日,营口市中心医院普外三科团队成功完成一例极特别的腹腔镜下胆囊切除手术。患者是一位罕见的“镜面人”,心肺肝胆胃肠全部反着长。内脏反位发生率据不完全统计大约为0.0001%。该患者因“胆囊息肉”到市中心医院就诊,查腹部彩超提示胆囊位于左侧肝下,胆囊息肉,直径大于1cm,具备胆囊切除手术指征,收入院行手术治疗。
由于消化系统具有不对称性,内脏反位患者解剖关系与常规习惯相违背,手术不仅仅是“换一个方向做”就行,需要医生在“逆向思维”的引导下,转变站位、操作方式、习惯、器械使用方向等,极大增加了手术风险及操作难度,稍有不慎,可能会引发胆道损伤、腹腔感染等并发症。为确保手术安全,术前由于志勇主任领导的普外三科医生团队针对患者病情进行了专题讨论,分析术中的疑点难点,确定肝脏、胆囊等脏器的精准位置,做好充分的手术预案和技术探讨。由于志勇主任领导的普外三科医生团队克服重重困难,顺利完成手术,手术用时不足1小时,3天后患者康复出院。
由于志勇主任带领的营口市中心医院普外三科医生团队在不拖延手术时机、不增加手术时间、不延长住院时间、不增加围手术期并发症的情况下顺利完成手术和整个治疗过程,反映出医生团队过硬的诊断、治疗水平以及娴熟的手术技术。
来源:营口市中心医院公众号
Copyright © 2022 中国科学技术协会 版权所有 | 京ICP备16016202号-20