坚持了一年半的回访,老年病科为双侧大面积脑梗死患者打开“生命之路”
发布时间: 2024-05-06
“这真是生命的奇迹”,这是一段让患者家属铭记了一年半的经历,即使已经过去了许久,但看着两次经历险境的母亲,至今生活依旧平稳,她就觉得所有的努力都没有白费。
半月一次的购药,不定时的到老年病科咨询病情,定期的电话沟通,这样的“打卡”生活,高女士已经坚持了一年半,老年病科医护人员也不耐其烦地一次次给予用药指导,协助康复治疗,把死亡率和致残率高达70%的大面积脑梗患者从死亡边缘拉了回来,真正创造了“生命的奇迹”。

一年半前,72岁的高奶奶因突发脑梗被紧急送往营口市中西医结合医院。可是经过评估,高奶奶已经错过了溶栓治疗时机。很快,病情发展成为重度大面积脑梗,逐渐陷入昏迷状态。

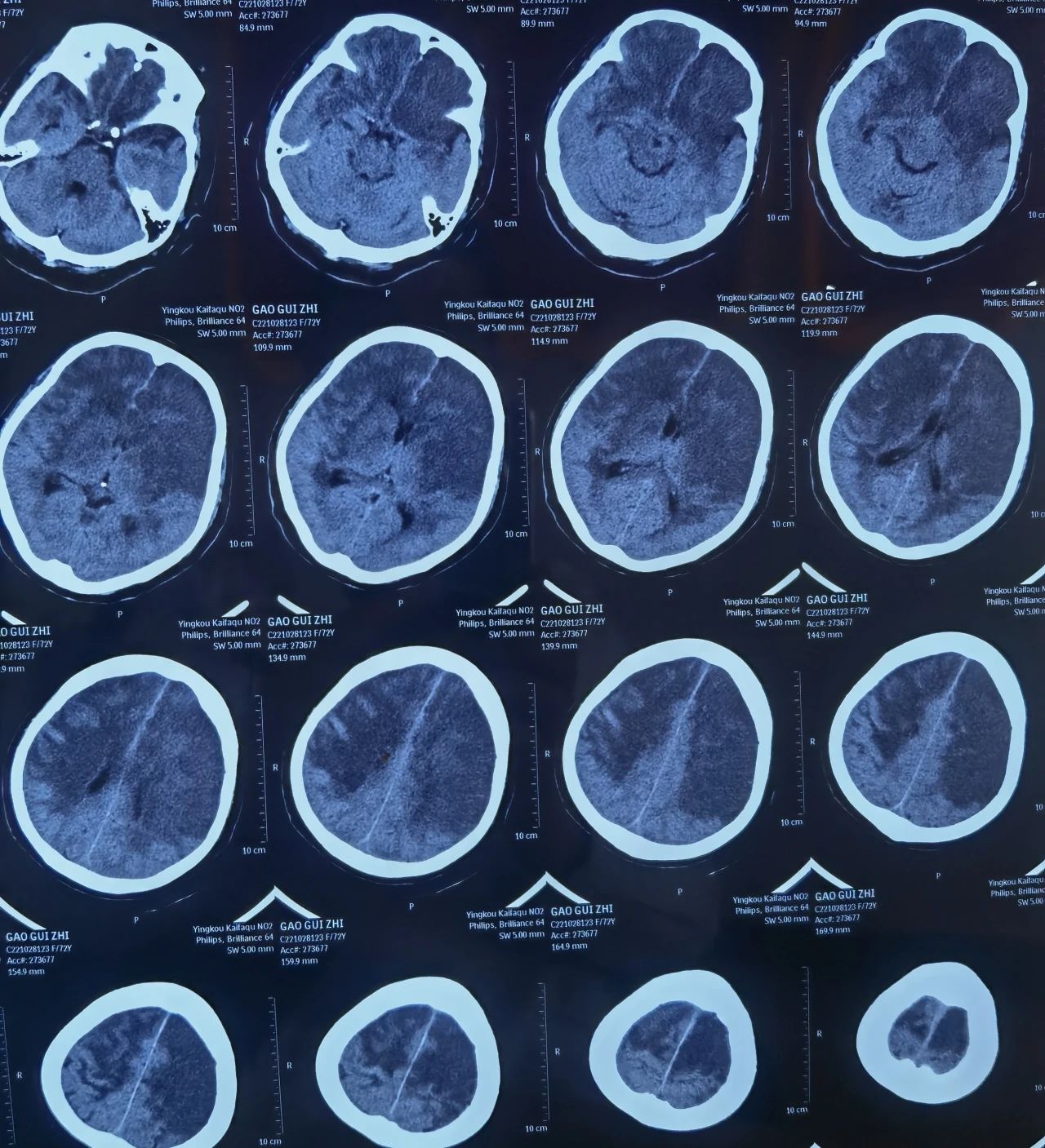
老年病科王珺主任接诊时,高奶奶已经中度昏迷,血压180/108mmHg,影像报告提示右侧大面积脑梗塞,极容易出现脑疝,若不及时救治可直接危及生命。

(入院时,右侧大脑半球约三分之二大片状梗死灶,大脑中线向左侧移位)
病情危急,王珺主任立即给予系统治疗,缓解相应症状,使患者脱离了生命危险。但由于患者本就患有动脉血管狭窄且年龄较大,基础性疾病多,入院第八天突发昏厥,同时合并继发癫痫,CT显示由单侧脑梗塞发展为双侧大脑干球大面积梗死,随时可能引起心跳、呼吸骤停。

(入院8天后,大脑半球约三分之二出现大片状梗死灶)

(头部核磁共振血管成像)

时间就是生命,王珺主任带领团队立即给予脱水降颅压改善脑供血、活血化瘀减轻脑血肿、抗炎营养脑细胞等一系列规范治疗,终于稳定了生命体征,在老年病科医护人员轮番值守和精心照护下,高奶奶的病情逐渐平稳,半个月后顺利出院。

“回访也是治疗中的重要一环。”老年病科医护人员说道。营口市中西医结合医院多科室现已常规长期开展出院病人回访工作,通过询问病人出院后的康复情况,在用药和饮食习惯方面给予指导帮助,并叮嘱需要随诊的患者进行必要的影像学检查,不但有利于患者康复,更有助于改善医患关系,提高患者就医满意度。
大面积脑梗作为一种极为严重的缺血性卒中,致死率和致残率较高,据统计,约70%的大面积脑梗塞的病人存活时间为一周左右,尤其是高龄、有基础疾病的老年患者。有脑卒中病史的患者一定要在医生的指导下,规范用药,定期复查。
信息来源:营口市中西医结合医院微信公众号

Copyright © 2022 中国科学技术协会 版权所有 | 京ICP备16016202号-20
Copyright © 2022 中国科学技术协会 版权所有 | 京ICP备16016202号-20