核酸清除剂 Nucleic Acid Cleaner --思凝一云
发布时间: 2023-11-09
思凝一云:核酸清除剂 Nucleic Acid Cleaner ,更高效、更便捷的核酸污染治理方案。
实验室环境核酸污染概述
污染来源:核酸气溶胶分散并悬浮于气体介质中,广泛存在于实验室桌面、器具、 耗材以及空气中。生物相关实验室常规操作如离心、摇动、开盖、移液器吸样等,均会产生核酸污染。
污染危害:极微量的核酸污染,即可形成假阳性,错误的结果判读直接造成实验室 的经济损失。更严重的是,局部小面积的气溶胶污染一旦形成,整个 PCR 实验室的污染在所难免,严重时甚至需要关闭实验室。
污染治理:传统的实验室核酸污染治理有诸多局限:酒精擦拭只能使核酸短暂变 性,酒精挥发后核酸即复性,无法实现核酸断链后彻底清除,效果与纯水无异; 酶解法因生物酶残留、易对后续实验结果造成不可避免的干扰;紫外照射法处理 范围有限,对于边角和细节处无能为力,且只对核酸大片段有效,对于实验室常 涉及的中短片段效果较差;高温高压无法处理实验台面及大型/精密仪器;酸碱法、次氯酸钠及过氧化氢法等,刺激性大,有腐蚀性,对实验室人员的健康构成威胁。
核酸清除剂 Nucleic Acid Cleaner 产品


产品用途:去除实验室 DNA/RNA 等核酸残留污染,解决 PCR 实验假阳性问题。
主要成分:水、乙醇、表面活性剂等。
作用原理:在核酸清除剂有效组分的联合作用下,仪器、设备和实验台表面核酸 污染从吸附表面解离出来,进一步被非酶降解,被断链清除,最终实现核酸分子的完全净化。
使用说明
喷(适用于实验操作台面):
将核酸清除剂在目标表面喷涂 3 次,3-5 分钟后用干净的纸巾擦拭一遍目标表面即可。
擦(适用于仪器设备表面):
用纸巾蘸取适量核酸清除剂擦拭仪器设备或工具表面,3-5 分钟后再用干净的纸巾擦拭一遍即可。
泡(适用于细小部件及耗材):
将移液器枪头等可拆卸细小部件或耗材置于核酸清除剂中浸泡 5 分钟,再用纯水冲洗干净、 自然静置晾干即可。
产品优势

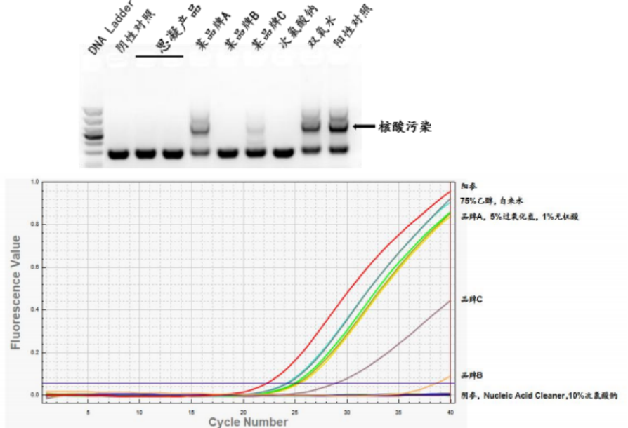
核酸污染清除效果对比图(示例)

核酸污染清除放大生产效果对比图(示例)
广泛适用:所有需要核酸扩增的分子/检测实验室的工作台、仪器设备表面、移液器、耗材,以及空间气溶胶等处的核酸清除。
性能优异:独特的清除原理,核酸清除率 99%以上。
简单快捷:直接喷洒使用,3-5 分钟快速清除核酸。
安全无毒:中性、无刺激、无腐蚀、非酶类试剂,不影响实验。
核酸“读 ”、“ 用 ”、“写 ”技术创新与应用
(注:本资讯出自思凝一云)

Copyright © 2022 中国科学技术协会 版权所有 | 京ICP备16016202号-20
Copyright © 2022 中国科学技术协会 版权所有 | 京ICP备16016202号-20