HRSK旋转铰链全膝关节系统
发布时间: 2023-07-14
HRSK铰链膝系列
安全的铰链机制,铰链轴衬套和封堵双重限制,防止脱出;
仿生设计,允许膝关节内旋、外旋20°,满足膝关节日常活动;
缩短手术时间;
360°精准定位;
模块化的铰链机制,95%负载由胫骨承担;
应力主要通过胫股关节面承载;
聚乙烯缓冲垫,应力传导得到缓冲,明显降低松动。
设计优势
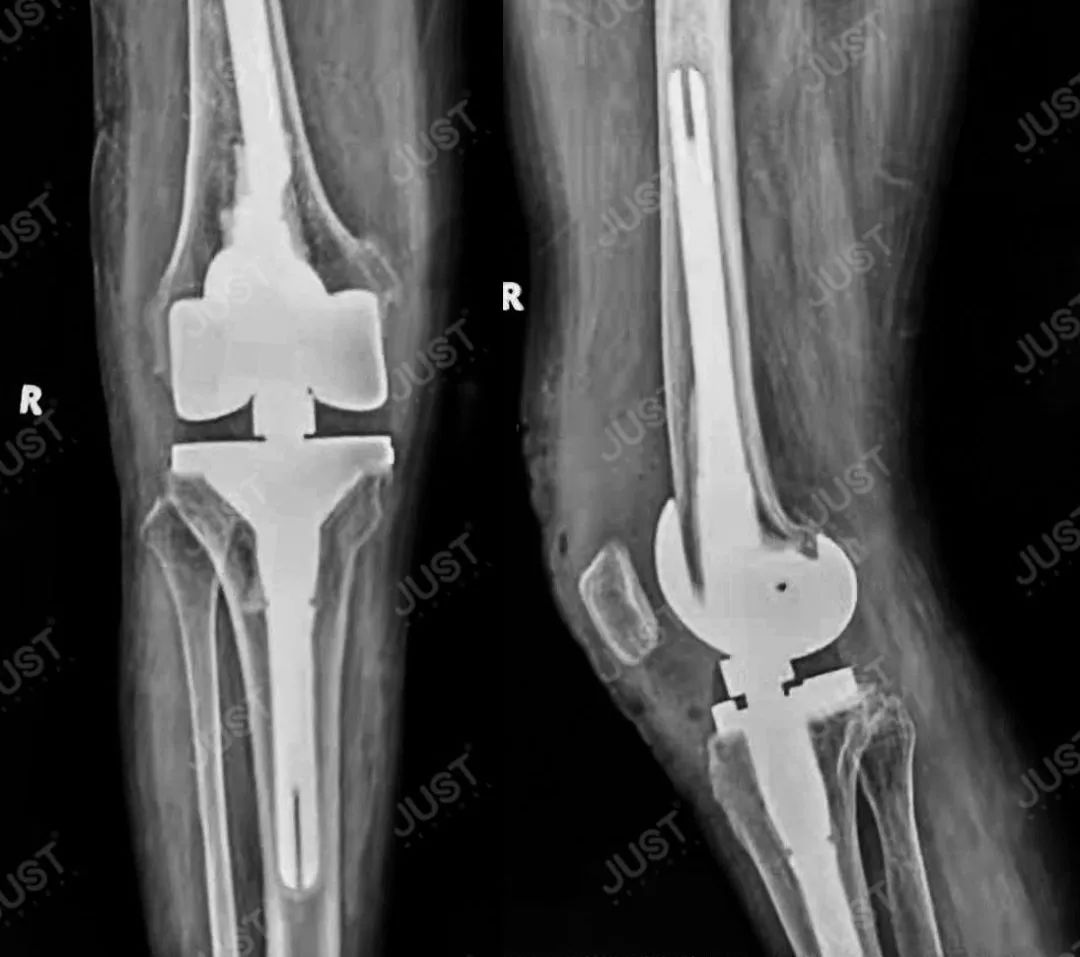
假体植入实例HRSK旋转铰链膝关节假体系统
术前片
术中透视片
术后资料
嘉思特医疗HRSK翻修全膝关节系统与RSK翻修全膝关节系统工具通用,避免术中复杂的工具操作,14-22mm多型号平台垫片以及百余种垫块纠正关节线,铰链轴的结构实现膝关节的高屈曲,允许膝关节内旋、外旋20°,活动自如!
(信息来源:嘉思特医疗)

Copyright © 2022 中国科学技术协会 版权所有 | 京ICP备16016202号-20
Copyright © 2022 中国科学技术协会 版权所有 | 京ICP备16016202号-20