河北医大三院成功开展3D打印距骨置换术
发布时间: 2022-10-13
近日,我院足外科主任张奉琪带领团队,为一名右距骨坏死患者成功实施3D打印距骨置换术。手术运用金属3D打印技术,利用三维CT采集距骨数据,打印出高度定制化距骨假体,置换坏死距骨,从而缓解患者疼痛,改善运动功能。
足外科主任张奉琪及其团队成员
33岁的患者江先生(化名),3年前因从高处跌下造成距骨骨折,于当地医院接受距骨骨折切开复位内固定术。术后6个月出现走路时右踝疼痛的症状,后行距骨内固定取出术。近1年来,患者走路时右踝疼痛症状复发并逐渐加重,药物疗效甚微,遂来我院就诊,发现右侧距骨坏死症状已十分严重。
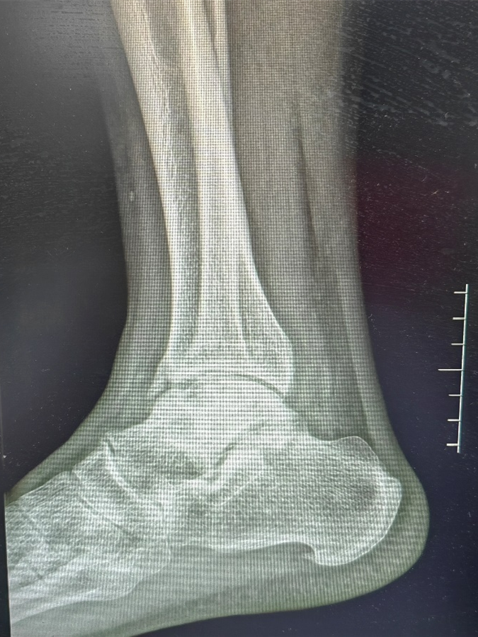
X线检查可见患者出现右踝关节退变,距骨坏死
距骨是连接人体小腿和脚的重要部位,人在单脚站立时,全身的重量都集中在距骨上。以往对于距骨坏死往往采取踝关节融合手术,手术需要切除坏死骨质,刮除关节面及胫骨远端软骨,再行植骨治疗,螺钉固定胫距关节。完成关节融合后,患者疼痛症状可以明显缓解,但会彻底丧失踝关节活动功能,造成生活极大不便。
3D打印距骨假体
为帮助患者解除病痛,还原运动功能,张奉琪主任带领团队认真分析患者病情,精心制定治疗方案,最终决定采用金属3D打印技术,该术式既能缓解患者疼痛,又能保护踝关节原有结构,最大程度还原运动功能。患者术后一周即可下地活动,经过后期康复可与正常人一样活动自如。
手术团队根据影像学资料为患者量身定制,打印人工距骨假体植入。为了保证手术成功开展,术前多次进行生物力学试验和模拟手术。打印的距骨假体材料为钛合金,具有组织相容性好、耐磨、寿命长的特性。经过1小时的紧张手术,3D打印距骨假体被成功植入患者体内,放至位置精准,与周围组织结构契合牢固,手术成功完成。
距骨假体植入位置精准
本次成功开展3D打印距骨置换术在河北省内尚属首例,标志我院跻身国内距骨置换术研究领域第一梯队。目前患者预后良好,现已出院。
来源:河北医科大学第三医院

Copyright © 2022 中国科学技术协会 版权所有 | 京ICP备16016202号-20
Copyright © 2022 中国科学技术协会 版权所有 | 京ICP备16016202号-20