市二医(金阳医院)成功开展医院首例经导管主动脉瓣置换(TAVR术
发布时间: 2022-04-25
贵阳市第二人民医院 2022-04-24 17:52 近日,市二医(金阳医院)心内科成功为一名主动脉瓣重度狭窄患者完成微创瓣膜置换手术-经导管主动脉瓣置换术(TAVR)。该项手术的开展,标志着市二医(金阳医院)心内科心脏团队的整体医疗水平迈上新的台阶。
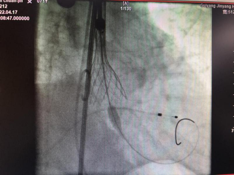
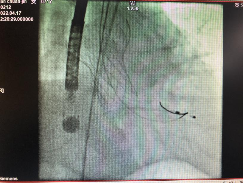
▲TAVR介入手术过程
“谢谢医生们为我解除了病痛,是我的救命恩人...”。这是田阿姨TAVR术后醒来说的第一句话。71岁的她,平素性格开朗,然而病痛缠身,有长期胸闷、气促、活动耐力下降症状,晕厥数次,严重影响生活质量,通过各项检查,多次讨论后,最终明确诊断田阿姨患主动脉瓣重度狭窄,病情严重,随时有猝死的风险。唐峰博士团队多次查看患者病情资料,并邀请心胸外科、超声科、麻醉科、呼吸内科、重症医学科等多学科进行MDT会诊,讨论一致认为:行经导管主动脉瓣置换术为田阿姨疾病的最佳治疗方案。通过管床组张宇副主任医师及赵月媛主治医师的耐心讲解,患者及家属了解到TAVR与传统的外科主动脉瓣置换术相比,具有手术时间短(1.5小时左右)、创伤小(切口约2cm)、康复快(3-5天)等特点,不需要开胸、停跳心脏、体外循环、并发症少,能够极大减轻患者的痛苦,同意进行TAVR手术并愿意积极配合治疗。
在多学科的协助下,心内科唐峰博士诊疗团队历经2个多小时,顺利为患者完成经导管主动脉瓣置换术(TAVR)。术后田阿姨恢复良好,顺利出院,她激动的说到“走路不累了,哪里都好了,没想到不开胸也能捡回一条命!”
▲心内科唐峰博士介入团队
据心内科唐峰博士介绍到:TAVR技术是近年来快速发展的一项革命性心血管疾病治疗的新技术,该技术有优越的先进性和强大的生命力,有更加广泛的适应症、更加可靠的手术器械、更加优化的操作流程、更加过硬的循证依据。TAVR技术的成功开展,将为更多的老年主动脉瓣狭窄患者带来获益。市二医(金阳医院)率先在全省市级三甲医院开展TAVR手术,充分体现了医院强大的综合诊治和救治能力,也体现了医院多学科合作(MDT)的优势。
市二医(金阳医院)心血管内科将紧跟技术前沿,不段提升专业能力,为区域内心脏疾病患者提供更加高质量的医疗服务。
博士简介:
市二医(金阳医院)
心内科 副主任医师
唐 峰
中南大学湘雅医院博士,贵州医科大学、贵州中医药大学硕士研究生导师,副主任医师,心内科副主任。
2021年贵州省人民医院心内科博士引进。贵阳市第二人民医院心内科主任。师从我国著名的心血管专家—中南大学湘雅医院杨天伦教授;贵州省著名心血管专家—贵州省人民医院杨天和教授。贵州省肺栓塞和深静脉血栓防治联盟专业委员会常务委员(VTE)、贵州省康复医学会、贵州省中医药学会介入心脏病学分会委员。贵州省医学会、贵阳市医学会医疗事故鉴定专家,贵州省孕产妇死亡评审专家。国家冠心病、先心病介入诊疗资质;主持贵州省省级课题三项、厅级课题一项。发表论文十余篇,SCI论文五篇,其中以共同第一作者、同等贡献发表SCI论文<>,影响影子IF5.2分(aging -us2019年)。参编书籍1部。
擅长领域:
高血压、冠心病、风心病、心肌病、先心病、肺栓塞、肺动脉高压、心律失常、心力衰竭等心内科常见疾病的诊治;临时起搏器、食道调拨、心包穿刺、主动脉球囊反搏(IABP)操作;主攻冠心病、先心病、肺栓塞、血栓性肺动脉高压球囊扩张、心肌病室间隔消融、二尖瓣球囊扩张、左心耳封堵介入诊疗。
心内科介绍✦
贵阳市第二人民医院(贵州医科大学附属金阳医院)是国家大型综合三甲医院,心血管内科为贵阳市市级临床重点学科,省级重点学科建设单位。是国家胸痛中心认证、国家房颤中心认证单位,心衰中心、高血压达标中心、心脏瓣膜中心、深静脉血栓栓塞症中心是国家建设单位,是观山湖区、白云区心血管区域诊疗中心,覆盖贵阳市各县市及贵州各地州、市人群。全科共有医护人员40名,其中主任医师3名,副主任医师6名;博士1名,硕士5名,在读硕士1名;贵州医科大学、贵州中医药大学硕士生导师1名,覆盖完整的高学历人才队伍。学科队伍具有国家冠脉介入、先天性心脏病介入、心律失常介入诊疗资质,及国家大型仪器设备操作(CDFI医师)资质。
心内科常规开展冠心病、高血压、心力衰竭、心律失常、先天性心脏病、肺动脉栓塞、肺动脉高压、心肌病、心脏瓣膜病等所有心血管疾病的诊疗,覆盖完整的心血管系统疾病。开展冠心病、先天性心脏病、肺栓塞、左心耳封堵、起搏器置入(包括ICD、CRT)、阵发性室上性心动过速及房颤、房扑的射频消融所有心血管疾病介入诊疗,以及在市级医院中率先完成经导管主动脉瓣置换术(TAVR)。
2021年心内科介入手术2200余台,ST抬高急性心肌梗死急诊手术220多台。心内科全体医护人员全心全意为广大患者服务,热忱欢迎有志之士加入贵阳市第二人民医院心内科团队。
(心内科 朱小涵 唐峰 撰稿)

Copyright © 2022 中国科学技术协会 版权所有 | 京ICP备16016202号-20
Copyright © 2022 中国科学技术协会 版权所有 | 京ICP备16016202号-20