哈兽研最新研究揭示宿主细胞对抗新冠病毒新机制
发布时间: 2022-01-17
科技日报记者 李丽云
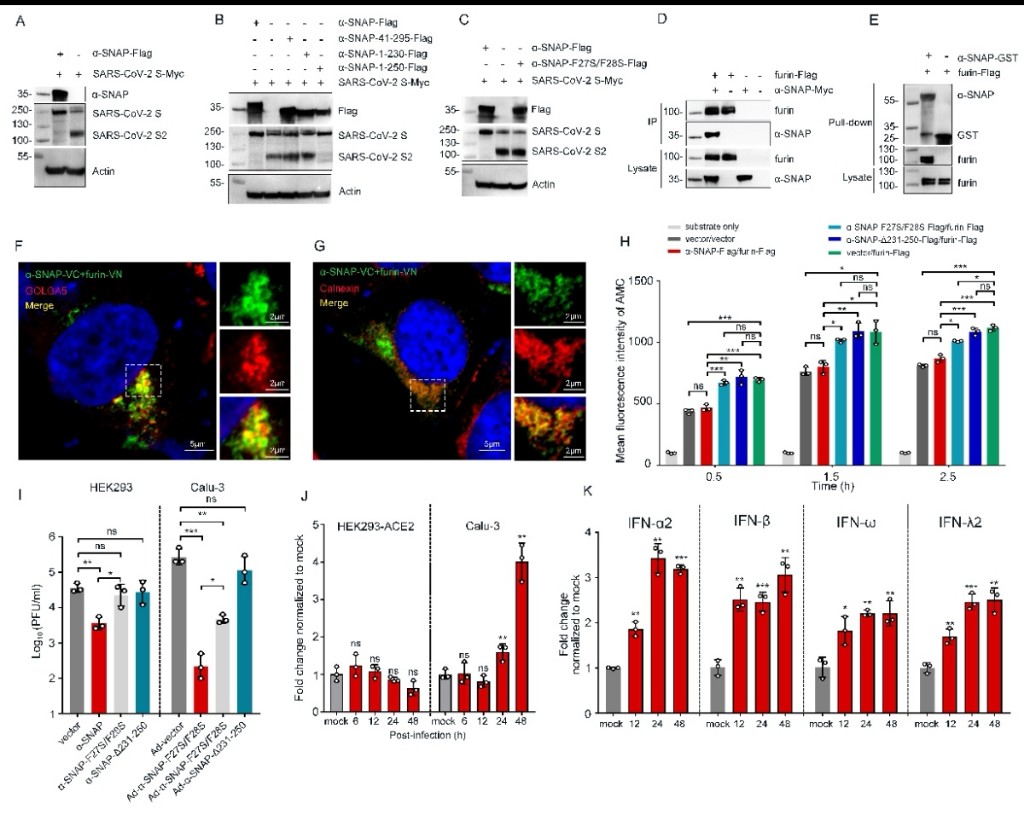
记者1月15日从中国农业科学院哈尔滨兽医研究所获悉,该所重要人兽共患病与烈性外来病团队在宿主针对病毒感染的防御机制研究方面取得新进展,鉴定了一个新的对抗新冠病毒感染的弗林蛋白酶调控基因。相关研究1月11日在线发表在美国微生物学会旗舰刊物《mBio》,被选为编辑推介论文(Editor’sPick)。

据论文第一作者、哈兽研王金良副研究员介绍,新冠病毒、中东呼吸综合征病毒、埃博拉病毒、马尔堡病毒等多种重要病毒病原的囊膜蛋白在感染过程中依赖细胞弗林蛋白酶切割加工成熟,进而获得感染性,因此弗林蛋白酶是重要的抗病毒治疗潜在靶点,但细胞生理和感染情况下,弗林蛋白酶酶活性的调节机制尚不十分清楚。

该研究发现,可溶性N-乙基马来酰亚胺敏感性因子附着蛋白α(α-SANP)是一个新的干扰素刺激基因,在新冠病毒感染过程表达上调,通过与弗林蛋白酶的P结构域直接互作抑制其酶活性。α-SANP在经典的细胞囊泡转运过程发挥重要作用,本研究揭示了α-SNAP独立于囊泡转运的新功能,丰富了宿主针对病毒感染的防御机制,为新冠病毒等病毒病的治疗提供了新的靶向。可以利用这个新机制去设计药物,调控弗林蛋白酶的活性,进而抗新冠病毒。
王金良副研究员和博士研究生罗杰为论文共同第一作者,步志高研究员为通讯作者。

论文第一作者王金良(前)和罗杰(后)在做实验
(受访者供图)

Copyright © 2022 中国科学技术协会 版权所有 | 京ICP备16016202号-20
Copyright © 2022 中国科学技术协会 版权所有 | 京ICP备16016202号-20