弓形虫的心灵控制术
发布时间: 2021-06-23
对健康人而言,弓形虫感染可能不会出现明显的症状。换言之,你可能感染过而不自知。然而,潜伏的弓形虫所引发的神经损伤,可能对人类神经和心理留下了深远的影响。
作者:于涛(美国印第安纳大学医学院)
恐怖的僵尸蚂蚁
大卫·爱登堡在纪录片《地球脉动》(Planet Earth)中描述了一种被恐怖寄生真菌操纵的僵尸蚂蚁。一种被称为虫草菌(Cordyceps)的孢子在侵入子弹蚁的身体后,以一种强力而残忍的方式控制了它们的心灵。这种寄生孢子在入侵子弹蚁的大脑后,会使子弹蚁失去方向感,并如同僵尸一般用下颚死死咬住植物的茎秆。大约经历三周时间,虫草菌的子实体从子弹蚁的脑袋里长出来,这个过程是漫长而恐怖的。
视频:虫草菌怎样杀死子弹蚁(前往“返朴”公众号观看)
为了搞清楚真菌感染改变蚂蚁行为的意义,科学家们对泰国热带雨林中的木蚁(Camponotus leonardi)进行了深入的研究。科学家们发现,正常的木蚁会朝着特定的方向行进且很少迷路,而在被偏侧蛇虫草菌(Ophiocordyceps unilateralis s.l.)感染后,木蚁变得如同无头苍蝇一般随机行进,并出现抽搐,结果便是坠下树梢,再也无法返回到干燥而炎热的树冠,只能生活在离地面约为25厘米的范围内。这里阴冷潮湿,是真菌生活的绝佳环境。而更可怕的事情会在正午阳光最强的时候发生——此时,侵入到木蚁大脑的真菌开始操纵木蚁,迫使木蚁如同僵尸一般死死咬住一片叶子的叶脉。真菌的威力远不止如此,它们会在木蚁的脑中大量繁殖,导致木蚁下颚肌肉广泛萎缩,使得其下颚侵入到深层组织并形成一种“下颚锁(Lock-jaw)”。结果就是在木蚁死后,它们的尸体还会牢牢地拴在叶脉上,这一现象被称为“死亡之握(Death grip)”。几天后,真菌从木蚁的头部长出子实体,并散落新的孢子,感染其他的木蚁。
而事实上,能够操纵宿主行为的寄生物可远不止虫草菌这一种,有一些微生物或寄生虫甚至能够影响人类的大脑和行为,比如大名鼎鼎的弓形虫。
弓形虫——最“成功”的寄生虫之一
弓形虫被科学家们誉为最“成功”的寄生虫之一,因为它几乎可以感染所有的温血动物。据估计,全世界人口中约有30%到35%曾感染过弓形虫。可能很多人对弓形虫的了解都源于这样一句话:“怀孕的人不能养猫”。这句话现在看来虽然并不完全准确,但它的影响力足以让许多科普工作者望尘莫及。其实,科学家早在100多年前就已经发现了弓形虫。
1908年,突尼斯巴斯德研究所的科学家查尔斯·尼科尔(Charles Nicolle)在北非研究利什曼原虫的宿主,这是一种能够引起人类黑热病的危险病原体。查尔斯认为,生活在突尼斯南部的山麓丘陵和山区的一种啮齿动物梳齿鼠(Ctenodactylus gundi)可能是利什曼原虫的自然宿主。而在他的研究过程中,查尔斯无意中发现了另一种形态与利什曼原虫完全不同的寄生虫。他根据它的宿主和如弓一般的外形将其命名为“刚地弓形虫”(Toxoplasma Gondii)。经过众多科学家的认真探索,弓形虫的生活周期和很多致病机理现在都已经搞清楚了。

刚地弓形虫的不同形态。a. 速殖子, b. 速殖子的内部结构示意图,c. 包囊,包囊内充满了大量的缓殖子,形态类似于速殖子,但虫体较小。丨来源:
#
猫是人类最为亲密的宠物之一,同时也是弓形虫深深喜爱的宿主。弓形虫可以在猫的小肠内完成全部生命周期。不幸的是,猫也是弓形虫的终宿主,这意味着弓形虫可以在猫的肠道内完成有性生殖过程,同时产生大量的卵囊。感染了弓形虫的猫会在便便时排出大量的卵囊。卵囊被猫排出体外后,会在猫砂等环境中继续发育产生成熟的孢子,人类或其他动物在接触到含有成熟孢子的卵囊后便会被感染。但有一件事无需担心,人类不是弓形虫的终宿主,感染了弓形虫的人类并不会四处传播虫卵。
虽然兽医已经有办法诊断和治疗猫的弓形虫病,而且科学喂养下的猫也并不容易被感染,但怀了宝宝的妈妈们仍然要加倍小心。这是因为妈妈在感染了弓形虫后,很容易传播给肚子中的胎儿,并引起严重的后果。如果感染发生在怀孕前不久或怀孕的头三个月,大约 10%的病例会发生母婴传播,并继而导致流产或胎儿严重畸形,如脑积水和小头畸形。如果感染发生在孕晚期,胎儿被感染的概率会上升到 50%至60%。所以在备孕和怀孕期间,铲屎的工作就暂时让宝爸来做吧。
但有一个问题,没有怀孕的人感染了弓形虫就没事了吗?
急性弓形体病通常是一种自限性疾病,可能出现的症状包括发烧、疲劳、头痛和颈部淋巴结肿大。而在免疫功能低下的个体中,弓形虫感染可能会导致严重的症状甚至死亡。幸运的是,免疫系统正常的健康人即便感染了弓形虫也通常不会出现严重的症状,甚至很多人完全不知道自己在什么时候被感染了。然而,随着科学研究的深入,人们逐渐认识到,没有出现急性症状的隐性或慢性感染的病人,实际上可能会出现另一种形式的症状。而这还要从猫和老鼠的故事讲起。
主动找猫单挑的老鼠
老鼠对猫的恐惧似乎是与生俱来的。如果将实验室饲养的老鼠放在一个盒子里,并在盒子的一个角落滴上几滴猫尿,老鼠便会主动地避开有猫尿的角落。与此同时,老鼠体内与压力相关的荷尔蒙水平也会上升,这会让老鼠提高警惕,并且对疼痛的敏感性降低。然而,感染了弓形虫的小鼠并不会避开有猫尿的角落,更有一些受感染的小鼠还会被这种气味所吸引。这一奇特的现象着实让科学家们大开眼界。

通过进一步的研究,科学家们发现,感染弓形虫的啮齿类动物对猫科动物气味的厌恶减少似乎并不是由于嗅觉功能受损所致,而是宿主对被捕食风险的感知发生了变化。这背后有复杂的神经和生理机制的改变,目前科学家们普遍认为,神经递质水平或代谢改变和激素水平变化可能是弓形虫影响啮齿类动物行为的主要原因。
事实上,弓形虫感染会增加小鼠大脑中的多巴胺信号传导。例如,有研究发现,受感染小鼠大脑内会形成弓形虫囊肿,囊肿中含有大量多巴胺。体外培养的多巴胺能细胞(即合成并释放多巴胺的神经细胞)在感染弓形虫后也会分泌更多的多巴胺。虽然受感染小鼠在行为实验中表现出更强的探索行为,但当其多巴胺通路被抑制后,这种行为改变便会消失。这些发现都表明,弓形虫感染与多巴胺能神经调节系统的变化之间存在关联。
而多巴胺是一种与奖励或愉悦相关的神经递质,还会影响宿主的动机和目标导向行为。科学家们认为,寄生的弓形虫会通过增加多巴胺信号来干扰小鼠的行为,促使其产生探索捕食者气味的非典型动机。另有研究发现,弓形虫在感染小鼠大脑中的树突状细胞后,会促使其分泌更多的γ-氨基丁酸,而γ-氨基丁酸是大脑中重要的抑制性神经递质,具有减轻恐惧和焦虑的效果。
然而,一项2020年发表的研究对老鼠和猫的故事提出了挑战。该研究发现,弓形虫会改变小鼠对捕食者的厌恶,但这一厌恶性的改变并不具有选择性。换句话说,弓形虫感染并不会促使老鼠专门去找猫送死——也可能找别的动物。事实上,狐狸(捕食者)和豚鼠(非捕食者)的气味都可能吸引受到感染的小鼠。由此,这项研究认为弓形虫降低了受感染小鼠的广泛焦虑水平,增加了其探索行为和好奇心,从而导致了上述行为变化。
另外,该研究还发现小鼠行为改变的严重程度与弓形虫在大脑中造成的囊肿数量有关系,而囊肿所引发的促炎细胞因子水平似乎和小鼠的行为变化有关系。这说明,弓形虫感染不仅会促进终宿主猫对啮齿动物的捕食,还会增加其他啮齿类捕食者的成功率,这也有利于弓形虫在中间宿主之间的传播。
还有研究发现,弓形虫可以侵入大鼠的睾丸,并导致睾丸间质细胞中睾酮的合成增加,而睾酮水平升高会使得大鼠转向性行为,而非防御行为。另一方面,在雌性大鼠上,弓形虫感染也能够影响孕酮的水平。弓形虫感染对啮齿类动物行为还有哪些影响?是怎样影响的?还有许多未知的秘密等待科学家们的探索。
精神分裂可能是因为感染了弓形虫?
尽管我们将小鼠行为的研究结果直接应用于人类行为和心理学时应该非常谨慎,但很明显,弓形虫感染所引起的中枢神经系统炎症反应会导致与神经退行性疾病相关的神经元损伤,并可能引发阿尔茨海默病。因此,不应低估弓形虫感染对人类神经元功能的潜在影响。
—— Boillat M. et al, Cell Reports, 2020
尽管弓形虫急性感染通常不会导致明显的症状,但是,越来越多的研究揭示出慢性弓形虫感染与人类行为改变和精神疾病之间的联系。近几十年的研究表明,潜伏性弓形虫感染与帕金森病、阿尔茨海默病、隐匿性癫痫、复发性偏头痛、自闭症、强迫症和脑肿瘤的风险增加之间存在潜在联系,同时也是导致精神分裂症、抑郁症、广泛性焦虑症、人格障碍和双相情感障碍等精神疾病的危险因素。

弓形虫与被感染的细胞。| 来源:
#
人群中潜伏的弓形虫感染可能会导致大脑功能受损,导致广泛的行为变化和神经精神变化。潜伏的弓形虫感染可能改变冲动控制,引发更多的一般冒险行为和暴力行为。研究发现,弓形虫血清阳性的女性个体表现出更高的攻击性,而男性个体则会过度冲动。在神经认知功能方面,弓形虫潜伏感染与人类精神运动能力(Psychomotor performance)下降、注意力不集中、智商 (IQ) 降低和人格特征改变有关。总的来说,以上属性可能会影响人格表型,并最终可能导致各种危及生命和健康风险的行为,包括自杀和他杀。
波兰华沙医科大学(Medical University of Warsaw)法医学系的病理学家在2010年至2013年间对于97例男性尸检病例样本的研究发现,大脑内存在弓形虫基因组DNA虽与过量饮酒之间并无关联,但与作死行为的发生之间存在很强的相关性。一项发表于2003年的研究使用现代心理生物学问卷测试了857名应征入伍者,发现与未感染弓形虫的健康人相比,弓形虫阳性的人在冲动性(Impulsiveness)、挥霍度(Extravagance)和失序度(Disorderliness)三个量表中得分偏低。更令测试者惊讶的是,阳性受试者的智商和获得高等教育的可能性均低于健康受试者。
一项发表于2002年的研究调查了146个涉及交通事故的驾驶员/行人,与居住在同一地区的一般人群进行比较后发现,交通事故组的弓形虫血清阳性率显著高于一般人群。该研究还计算出弓形虫潜伏感染者的交通事故风险是弓形虫阴性人群的2.65倍。虽然导致交通事故的因素众多而复杂,不过慢性弓形虫感染司机的反应时间确比健康司机要长一些。同时,不遵守交通规则也是弓形虫病患者的特征之一。
慢性弓形虫感染与可能致死的危险行为之间存在很强的相关性。目前的研究结果表明,弓形虫病的广泛传播可能导致了全世界数十万人死亡,包括道路交通事故、工作事故和自杀。而这些发现指出有必要对从事重大责任职业的人进行定期弓形虫筛查,如飞行员、空中交通管制员或专业司机。对感染者进行充分治疗可能会减少道路交通事故和自杀的数量,并降低人们患神经精神疾病的风险。
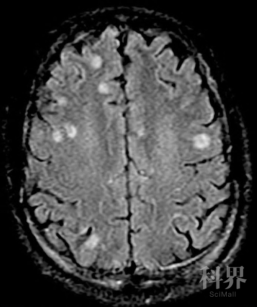
通过在小鼠和人体上的研究,科学家们发现弓形虫对于中枢神经系统具有强嗜性。弓形虫对人类行为的影响可能与寄生虫在大脑特定区域的位置有关。弓形虫所形成的囊肿可以遍布于全脑,但优先出现在大脑半球、海马、杏仁核、基底节、小脑、大脑皮层、脑干和嗅球。杏仁核是中枢神经系统中与恐惧和焦虑相关的区域,一项2007年发表在PNAS上的研究认为,处于杏仁核内的弓形虫囊肿可能是影响宿主行为变化的关键所在。

弓形虫在人脑内形成的囊肿(白色部位)丨来源:#:Oit_c3_d04.png
弓形虫不仅可以感染神经元,还能感染小胶质细胞和星形胶质细胞等多种细胞。弓形虫的缓殖子可以抑制细胞凋亡,并在宿主的细胞内存活多年或直到宿主生命结束。脑实质内的弓形虫囊肿会引发多种细胞分泌炎性细胞因子和趋化因子,持续的局部神经炎症反应也被认为是引发各类神经精神行为变化的因素之一。与在啮齿类动物中相类似,弓形虫在人类大脑中也可引发多巴胺通路和其他神经递质通路的变化,继而影响大脑对于运动控制、动机、愉悦、成瘾、奖励、和恐惧等方面的响应。
微生物和寄生虫为什么要改变宿主的行为?
啮齿类动物-弓形虫模型(The Rodent - T. gondii model)是科学家们研究最多的寄生行为操纵模型之一。弓形虫在感染了老鼠等啮齿类动物后,通过改变其大脑对于恐惧的认知,并增加其好奇心,令其更容易被猫捕食。这样下来,弓形虫便可以顺利进入猫的体内,并在终宿主体内产生大量的卵囊,感染更多的宿主。
无论是把蚂蚁变成僵尸的真菌,还是给老鼠壮胆的弓形虫,微生物和寄生虫改变宿主行为往往对自己具有特定的选择优势:
流感病毒和冠状病毒等一系列呼吸道传播病原体,在感染宿主后会通过刺激宿主的呼吸道引发咳嗽和喷嚏,并借助宿主产生的气溶胶高效地传播出去。呼吸道病原体通过这种高效的传播方式,每年能感染数以亿计的人群。
轮状病毒和诺如病毒等消化道途径传播的病毒,在感染后会导致宿主出现严重的腹泻和呕吐。大量的病毒颗粒通过呕吐物和粪便播散到环境中,并通过新一轮的“粪-口途径”感染其他宿主。
患有狂犬病的狗表现出更高水平的攻击性和咬人行为。由于病犬的唾液中含有大量的狂犬病毒,这种行为改变可能会增加病毒传播到易感宿主的机会。
而对于意外/死胡同宿主(Accidental/dead-end hosts)的研究则显示,改变宿主行为也可能只是微生物和寄生虫在演化过程中对于宿主选择性适应的副作用。例如,感染了弓形虫的海獭虽然更容易被鲨鱼捕食,然而鲨鱼却是弓形虫的“死胡同”,这对于弓形虫并没有好处。虽然狂犬病毒在感染犬类后,能通过改变它们的行为增加其传播几率,但狂犬病毒感染人类后所导致的过度活跃、恐惧性痉挛和严重的躁动等行为改变,对于病毒自身来说似乎也没有选择性益处。而关于弓形虫对人类行为的影响,到底是一种选择性适应还是选择性适应的副作用?这一点我们目前还没有答案。
参考文献
1. Alvarado-Esquivel C, Pacheco-Vega SJ, Hernández-Tinoco J, Salcedo-Jáquez M, Sánchez-Anguiano LF, Berumen-Segovia LO, Rábago-Sánchez E, Liesenfeld O. Toxoplasma gondii infection in interstate truck drivers: a case-control seroprevalence study. Parasit Vectors. 2015; 8:77
2. Beste C, Getzmann S, Gajewski PD, Golka K, Falkenstein M (2014) Latent Toxoplasma gondii infection leads to deficits in goal-directed behavior in healthy elderly. Neurobiol Aging. 2014; 35: 1037-1044
3. Boillat M, Hammoudi P, Dogga SK, Pagès S, Goubran M, Rodriguez I, Soldati-Favre D. Neuroinflammation-Associated Aspecific Manipulation of Mouse Predator Fear by Toxoplasma gondii. Cell Rep. 2020; 30:320-334.e6
4. Cook TB, Brenner LA, Cloninger CR, Langenberg P, Igbide A, Giegling I, Hartmann AM, Konte B, Friedl M, Brundin L, Groer MW, Can A, Rujescu D, Postolache TT. “Latent” infection with toxoplasma gondii: association with trait aggression and impulsivity in healthy adults. J Psychiatr Res. 2015; 60: 87-94
5. Fabiani S, Pinto B, Bonuccelli U, Bruschi F. Neurobiological studies on the relationship between toxoplasmosis and neuropsychiatric diseases. J Neurol Sci. 2015; 351: 3-8
6. Flegr J (2013) How and why toxoplasma makes us crazy. Trends Parasitol. 2013; 29: 156-163
7. Flegr J, Havlícek J, Kodym P, Malý M, Smahel Z. Increased risk of traffic accidents in subjects with latent toxoplasmosis: a retrospective case-control study. BMC Infect Dis. 2002; 2:11
8. Flegr J, Preiss M, Klose J, Havlícek J, Vitáková M, Kodym P. Decreased level of psychobiological factor novelty seeking and lower intelligence in men latently infected with the protozoan parasite Toxoplasma gondii Dopamine, a missing link between schizophrenia and toxoplasmosis? Biol Psychol. 2003;63: 253-268
9. Fuks JM, Arrighi RB, Weidner JM, Kumar Mendu S, Jin Z, Wallin RP, Rethi B, Birnir B, Barragan A. GABAergic signaling is linked to a hypermigratory phenotype in dendritic cells infected by Toxoplasma gondii. PLoS Pathog. 2012; 8:e1003051
10. Golcu D, Gebre RZ, Sapolsky RM. Toxoplasma gondii influences aversive behaviors of female rats in an estrus cycle dependent manner. Physiology & behavior. 2014; 135:98-103
11. Havlícek J, Gasová ZG, Smith AP, Zvára K, Flegr J. Decrease of psychomotor performance in subjects with latent 'asymptomatic' toxoplasmosis. Parasitology. 2001; 122: 515-520
12. Hughes DP, Andersen SB, Hywel-Jones NL, Himaman W, Billen J, Boomsma JJ. Behavioral mechanisms and morphological symptoms of zombie ants dying from fungal infection. BMC Ecol. 2011; 11:13
13. Lester D. Brain parasites and suicide. Psychol Rep. 2010;107: 424.
14. Lester D. Toxoplasma gondii and homicide. Psychol Rep. 2012;111: 196-197
15. Lim A, Kumar V, Hari Dass SA, Vyas A. Toxoplasma gondii infection enhances testicular steroidogene- sis in rats. Molecular ecology. 2013; 22:102-110
16. Markovitz AA, Simanek AM, Yolken RH, Galea S, Koenen KC, Chen S, Aiello AE. Toxoplasma gondii and anxiety disorders in a community-based sample. Brain Behav Immun. 2015; 43:192-197
17. Prandovszky E, Gaskell E, Martin H, Dubey JP, Webster JP, McConkey GA. The neurotropic parasite Toxoplasma gondii increases dopamine metabolism. PLoS One 2011; 6: e23866
18. Skallova, A., Kodym, P., Frynta, D. and Flegr, J. The role of dopamine in Toxoplasma-induced behavioural alterations in mice: an ethological and ethopharmacological study. Parasitology 2006; 133:525-535
19. Torrey EF, Bartko JJ, Yolken RH. Toxoplasma gondii and other risk factors for schizophrenia: an update. Schizophr Bull. 2012; 38:642–647
20. Vyas A, Kim SK, Giacomini N, Boothroyd JC, Sapolsky RM. Behavioral changes induced by toxoplasma infection of rodents are highly specific to aversion of cat odors. Proc Natl Acad Sci U S A. 2007; 104:6442-6447
21. Yagmur F, Yazar S, Temel HO, Cavusoglu M. May Toxoplasma gondii increase suicide attempt-preliminary results in Turkish subjects? Forensic Sci Int. 2010; 199:15-17
版权说明:欢迎个人转发,任何形式的媒体或机构未经授权,不得转载和摘编。转载授权请在「返朴」微信公众号内联系后台。