PASS是全新正畸理念及矫治技术,利用生理性支抗,可以大大减少口外弓和种植钉支抗的使用。主要创新成果包括:发现生理性支抗丢失的规律,国际首创四维生理性矫治理念;创建全新生理性支抗矫治技术(PASS技术);研发具有完全自主知识产权的PASS矫治系统及系列产品。
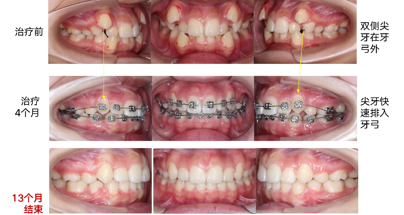
PASS技术可应用于正畸临床各类错牙合畸形的矫治中。主要应用场景有:治疗正畸减数病例时,XBT颊管可有效保护磨牙生理性支抗强度,降低医疗风险,缩短矫治疗程;治疗非减数病例时,PASS技术可以通过对后牙萌长方向的调控,使上后牙向前向下的生长转变为向后向下的生长,起到类似于推磨牙向后的效果;正畸排齐牙齿的过程中,应用MLF托槽,医生可根据治疗需要决定在哪个牙位降低摩擦力或增加矫治力,从而使所有牙齿尽可能同时高效移动;对于需要垂直向控制的高角病例及开合病例等,PASS技术中的舌力介导器可通过舌力承载面将舌肌向上向后的吞咽力传递到磨牙上,最终实现垂直向有效控制;PASS技术强调充分利用口腔内所有的生理力来矫治错牙合畸形,矫治力量轻柔,通过矫治可将牙齿移动到最符合口腔功能、美观、健康、稳定的生理位置,从而保持牙周和牙体组织的健康。


下载app